Comentarios del Doctor Joseph Mercola
Publicado Por Dr. Mercola en Boletin de Salud; La CDC y la ADA Ahora Aconsejan Evitar el Uso de Fluoruro
Fue en el año 2007 cuando la Asociación Dental Americana (ADA) advirtió por primera vez que los padres de niños menores de un año de edad “deberían considerar usar agua que no contenga fluoruro o que tenga niveles muy bajos de este” al mezclar la fórmula para bebés, debido a la preocupaciones acerca de la fluorosis.
Ahora el Journal of the American Dental Association (la revista de la Asociación Dental Americana) ha publicado un estudio en el cual encontró un mayor riesgo de fluorosis en los lactantes que fueron alimentados con formula infantil reconstituida con agua que contiene fluoruro, así como el uso de pastas dentales con fluoruro.
Los autores observaron:
“Los resultados sugieren que la prevalencia de fluorosis dental ligera puede reducirse al evitar consumir grandes cantidades de fluoruro a través de la formula en polvo para bebés reconstituida y concentrada y la pasta dental fluorada.”
Los Centros para el Control y Prevención de Enfermedades de los Estados Unidos (CDC) también han seguido el ejemplo, advirtiendo en su página de Community Water Fluoridation, que al mezclar la formula en polvo o liquida concentrada con agua fluorada regularmente puede aumentar la posibilidad de que un niño desarrolle fluorosis dental.
También afirmaron que:
“En los niños menores de 8 años de edad, la exposición de fluoruro de todas las fuentes combinadas—agua, alimentos, pasta de dientes, enjuague bucal, u otros productos – contribuye a la fluorosis dental.”
Estas es la advertencia de la CDC, sin embargo, siguen sosteniendo que la fluoración del agua es segura – y que la fluorosis dental solo es un problema “cosmético”. En realidad, ninguna de estas afirmaciones es verdad.
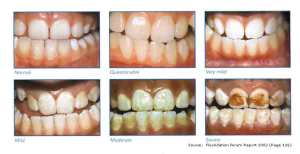
La Fluorosis Dental es una Señal de la Ingesta Excesiva de Fluoruro
Los resultados de la fluorosis dental se muestran en manchas blancas y marrones en los dientes. Solo es causada por el fluoruro— generalmente debido a la ingesta de demasiado fluoruro durante los años de desarrollo, desde el nacimiento hasta la edad de 8 años. De acuerdo con el CDC, cerca de un tercio de los niños norteamericanos de edades entre los 12 y 15 años tienen formas ligeras o muy bajas de fluorosis en los dientes.
Los promotores de la fluoración dicen que estas marcas son “solo cosméticas,” pero también podrían ser una indicación de que el resto de su organismo, tal como los huesos y el resto de sus órganos, incluyendo su cerebro, también han sido expuestos a mucho fluoruro.
Así como lo explicó el Dr. Paul Connett, un químico especializado en la química del medio ambiente:
“Sabemos que el 32 por ciento de los niños estadounidenses han sido sobreexpuestos al fluoruro, debido al signo que nos revela la fluorosis dental, que en su forma más ligera presenta pequeñas manchas blancas. Pero cuando se vuelve más grave, afecta más la superficie de los dientes y las manchas se vuelven de color amarillo, marrón y naranja…
Los dientes son las ventanas a los huesos. Si ha visto el daño de los dientes, ¿Qué daño no ha visto?”
En otras palabras, si el fluoruro tiene un efecto perjudicial, visual en la superficie de los dientes, se puede garantizar que también esté dañando algo más dentro de su organismo, como sus huesos.
El hueso es un tejido vivo que se reemplaza constantemente a través de la renovación celular. La construcción ósea es un proceso complicado de delicado equilibrio. Desde la década de los 30s, se sabe que el fluoruro interrumpe ese proceso.
¿Por qué es Peligroso Consumir Fluoruro?
Los Estados Unidos es uno de los ocho países desarrollados en todo el mundo que fluoruran más del 50 por ciento de su suministro de agua. Es agregado con el pretexto de que ayuda a prevenir y controlar la caries dental…
Esto es hecho a pesar de que nunca se ha demostrado ninguna diferencia en las caries dentales entre países con agua fluorada y no fluorada, y ninguna diferencia entre los estados que tienen un porcentaje alto o bajo de su agua fluorada.
Incluso los promotores de la fluoración admiten que los principales beneficios son tópicos; el fluoruro funciona desde el exterior de los dientes, no por el interior de su organismo, por lo tanto, ¿por qué ingerirlo?
El fluoruro agregado al agua potable es de hecho un desperdicio químico. NO es algo que pueda utilizar como un suplemento a su alimentación.
Existen muchos estudios que muestran los peligros que el fluoruro puede causar a su salud, tales como:
- Aumenta la absorción de plomo
- Interrumpe la síntesis de colágeno
- Hiperactividad y/o letargo
- Trastornos musculares
- Daño cerebral y disminución del coeficiente intelectual
- Artritis
- Demencia
- Fracturas de huesos
- Reduce la función de la tiroides
- Cáncer de huesos (osteosarcoma)
- Inactivación de 62 enzimas
- Inhibe la formación de anticuerpos
- Daños genéticos y muerte celular
- Aumento en el índice de tumor y cáncer
- Interrumpe el sistema inmunológico
- Daña los espermatozoides y aumenta la infertilidad
En cuanto a la caries dental se refiere, esto no es causado por la falta de fluoruro.
La caries dental es causada por los ácidos en la boca, típicamente creados al metabolizar el azúcar por bacterias (Streptococcus mutans), y como usted ya sabe, la principal fuente de calorías en los Estados Unidos es el jarabe de maíz alto en fructosa.
El acido producido ataca al esmalte. Eventualmente la bacteria llega a la dentina, y se empieza a desarrollar la caries. Así que existen mejores opciones para disminuir la caries dental que usar un veneno tópico o beberlo.
Normalmente no encontrará caries dental en comunidades más primitivas que no consumen grandes cantidades de azúcar como los Estados Unidos.
Asegúrese de que Sus Hijos No Estén Expuestos al Fluoruro
Una de las principales preocupaciones del dentista Bill Osmunson es la fluoración del agua para los niños. La ADA y la CDC ahora recomienda que los niños NO beban agua fluorada, y que no la usen para preparar la formula, ya que el agua fluorada contiene 250 veces más fluoruro que la leche materna.
“No deberíamos fluorar el agua y dañar lo más vulnerable,” dice el Dr. Osmunson.
Es mi firme creencia y recomendación evitar el consumo de agua fluorada en los niños.
Por desgracia, la única manera de asegurar que su agua es suficientemente pura es instalando un sistema de filtración de agua de alta calidad en su hogar como el filtro de ósmosis inversa que puede filtrar la mayor cantidad de fluoruro y otros peligrosos contaminantes como subproductos desinfectantes (DBPs).
Recuerde también que la mayoría de las aguas embotelladas típicamente contiene fluoruro, a pesar de no estar escrito en la etiqueta; sin importar lo que haga, evite el uso de “agua para bebés,” que es agua fluorada que se vende específicamente para los bebés.
El fluoruro en el agua potable es una de las razones por la cual es esencial darles leche materna a sus hijos. Por alguna razón, la naturaleza ha mantenido la leche materna libre de fluoruro.
Si usted no puede dar pecho y por esa razón utiliza la formula, asegúrese de que el agua que utiliza sea libre de fluoruro. Una vez más, por ahora la única manera de proporcionar agua pura libre de fluoruro a su familia es a través del uso de un filtro de ósmosis inversa, que puede ser instalado en su hogar.
Tenga en cuenta también que si usted es una mujer embarazada, es de igual manera importante que el agua que beba no tenga fluoruro, ya que este químico puede dañar el feto en desarrollo.
La Solución Final es Eliminar el Fluoruro del Agua
A pesar de que la ADA y la CDC han emitido avisos a los padres para que no utilicen el agua fluorada al preparar la formula de los bebés, ninguno de esos avisos han sido notificados al público abiertamente.
Hay millones de padres que utilizan el agua del grifo para preparar la formula de sus hijos, olvidando el hecho de que las agencias que promueven la fluoración en este país han emitido una advertencia especifica contra el uso de agua fluorada para este fin.
No solo eso, sino que la fluoración del suministro de agua municipal condena a las familias de bajos recursos que no puedan proteger sus hijos de este peligroso medicamento, incluso teniendo esta información, ya que simplemente no tienen los recursos para instalar un sistema de ósmosis inverso.
Por esa razón, la solución real es eliminar la práctica arcaica de la fluoración del agua en nuestros paises.
El Fluoride Action Network es un recurso fenomenal para la educación, y están presionando al gobierno de Estados Unidos de cambiar. Estaremos trabajando juntos para idear un plan para abordar este tema. Una vez que lleguemos al punto de inflexión, que puede ser tan solo un 5 por ciento de la población, seremos capaces de revertir las políticas de la fluoración del agua.
Nuestra estrategia comenzará con Canadá, ya que el 60 por ciento de Canadá utiliza agua no fluorada. Si pudiéramos hacer que el resto de Canadá dejara de usar el agua fluorada, creemos que los Estados Unidos se verán obligados a seguir este método.
Usted puede visitar www.FluorideAlert.org para obtener las actualizaciones más recientes y checar el progreso, así como consejos sobre cómo involucrarse y tomar medidas en esta importante causa.
Fuentes:
http://espanol.mercola.com/acerca-del-dr-mercola.aspx





